kenzo 8.0 98

kenzo 8.0 98

Style:
Taille:
Quantité:
Description du produit:
  • kenzo 8.0 98 Kenzo KZ 2208 C01 Eyeglasses in Black | SmartBuyGlasses USA
  • kenzo 8.0 98 KENZO Low-Tops for Men - Designer Sneakers - Farfetch
  • kenzo 8.0 98 Goddess Sekhmet Men's Hoodie - Atum Clothing
  • kenzo 8.0 98 KENZO Low-Tops for Men - Designer Sneakers - Farfetch
  • kenzo 8.0 98 Kenzo Limited Edition Mini Backpack / Haversack, Women's Fashion, Bags u0026 Wallets, Backpacks on Carousell
  • kenzo 8.0 98 KENZO Low-Tops for Men - Designer Sneakers - Farfetch
  • kenzo 8.0 98 Forest plot of sensitivity and specificity for CEUS-guided SLN | Download Scientific Diagram
  • kenzo 8.0 98 Custom Farewell Alexisonfire Crewneck Sweatshirt By Thesamsat - Artistshot
  • kenzo 8.0 98 Pi Givenchy cologne - a fragrance for men 1998
  • kenzo 8.0 98 jf2021,kenzo 8.0 huawei,multitek-ltd.com
  • kenzo 8.0 98 Amazon.com: Sistema de ducha KES XB6200-PARENT : Herramientas y Mejoras del Hogar
  • kenzo 8.0 98 Acqua Di Gio Absolu by Giorgio Armani 0.50 oz Edp Spray for Men - Walmart.com
  • kenzo 8.0 98 Espadrilles - Palm Springs - Patriot Blue with White Skull – Manebí
  • kenzo 8.0 98 Amazon.com: Kit de reglaje de válvula de ducha KES para equilibrar la presión de KES : Herramientas y Mejoras del Hogar
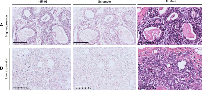
  • kenzo 8.0 98 Development of Prediction Model Including MicroRNA Expression for Sentinel Lymph Node Metastasis in ER-Positive and HER2-Negative Breast Cancer | SpringerLink
  • kenzo 8.0 98 Rare Earth Elements in Hydrothermally Altered Granitic Rocks in the Ranong and Takua Pa Tin‐Field, Southern Thailand - Imai - 2013 - Resource Geology - Wiley Online Library
  • kenzo 8.0 98 Development of Prediction Model Including MicroRNA Expression for Sentinel Lymph Node Metastasis in ER-Positive and HER2-Negative Breast Cancer | SpringerLink
  • kenzo 8.0 98 kenzo flower rojo 60,www.neurosurgeondrapoorva.com
  • kenzo 8.0 98 Development of Prediction Model Including MicroRNA Expression for Sentinel Lymph Node Metastasis in ER-Positive and HER2-Negative Breast Cancer | SpringerLink
  • kenzo 8.0 98 ASBMR 2010 Annual Meeting FR0005–FR0485 - 2010 - Journal of Bone and Mineral Research - Wiley Online Library
  • kenzo 8.0 98 Development of Prediction Model Including MicroRNA Expression for Sentinel Lymph Node Metastasis in ER-Positive and HER2-Negative Breast Cancer | SpringerLink
  • kenzo 8.0 98 CX/MX 332 Custom Colors – Lake Cycling
  • kenzo 8.0 98 air jordans 12 grey | Air Jordan 8
  • kenzo 8.0 98 Ça Sent Beau / Kenzo by Kenzo (Eau de Toilette) » Reviews u0026 Perfume Facts
  • kenzo 8.0 98 Ça Sent Beau / Kenzo by Kenzo (Eau de Toilette) » Reviews u0026 Perfume Facts
  • kenzo 8.0 98 nike free black with pink laces shoes kids girls - nike fs lite trainer 2 ebay auction guideidered Round Neck Terry Sweatshirt Color Black Blue Size M - XXL 9309#97 P1209 – SbriShops
  • kenzo 8.0 98 Molecules | Free Full-Text | Investigation of 8-Aza-7-Deaza Purine Nucleoside Derivatives | HTML
  • kenzo 8.0 98 PDF) The crustal architecture of Myanmar imaged through zircon U-Pb, Lu-Hf and O isotopes: Tectonic and metallogenic implications
elle ne voulait plus retirer sur elle. Très joli, très doux, couleur rose fidèle à la photo, bien chaud, adopté immédiatement par lenfant qui adore mettre la capuche. kenzo 8.0 98 Mon fils de 15 ans les adorent Le stand est au boulot et le pad dans ma chambre. kenzo 8.0 98 Je fait du 40 habituellement car jai des semelles vie le prix jai tenté le 39 vraiment aucun regret elle vont nikel. kenzo 8.0 98 Prix milieu de gamme = attente de qualité moyenne. Acheté pour mon fils il les adore Dans un commentaire jai lu que le pare soleil est fourni avec, or, ce nest pas le cas cest en option kenzo 8.0 98 La mise au point avec est impeccable et très rapide. Lorsque le gaz sort, il se détend et donc refroidi, ce qui précipite une condensation, CEST NORMAL quon ait limpression de mouiller les composants, cependant, lévaporation est instantanée si vous ne maintenez pas la pression en permanence.

kenzo 8.0 98
Avis des clients:
Nom complet:
Le titre:
La description:
Valeur d'évaluation:
Temps:
2026-03-22 05:29:32
Les clients ayant consulté cet article ont également consulté:
Sitemap